top of page
Akademik Özgeçmiş
Bilimsel Yayınlar
Mesleki Üyelikler
Patentler
Sunumlar
Atıflar
Prof. Dr. Aykut Recep Aktaş
GİRİŞİMSEL RADYOLOJİ UZMANI
WhatsApp İçin TIKLAYINIZ
GİRİŞİMSEL RADYOLOJİ
Girişimsel Radyoloji; Sıkça sorulanlar
AMELİYATSIZ KANSER TEDAVİLERİ
Kriyoablasyon
Mikrodalga Ablasyon
Kemoembolizasyon
Radyoembolizasyon
Lazer Ablasyon
Alkol Ablasyon
Safra yolları drenaj ve stent
Böbrek ve idrar yolları drenaj ve stent
Desmoid tümör ablasyonu
Miyom embolizasyonu
Tiroid Mikrodalga Ablasyon
Tiroid embolizasyonu
Prostat embolizasyonu
Port takılması
MEME KİTLE TANI VE TEDAVİSİ
Meme Vakum Biyopsi
Meme MR ve Mamografi
Meme fibroadenom ablasyon
Meme Tomosentez
Meme US Elastografi
Sterotaktik Meme İşaretleme
TİROİD NODÜL TANI VE TEDAVİ
Tiroid nodül temel bilgiler
Tiroid nodül değerlendirme
Tiroid nodül tipleri
Tiroid nodülüne yaklaşım
Tiroid İnce İğne Biyopsisi
Tiroid Nodülüne moleküler test
Tiroid nodülü iyi mi, kötü mü?
Gebede ve çocukta tiroid nodülü
Doktorunuz ve Sorular
Tiroid kanseri temel bilgiler
Tiroid Kanser Tipleri
Tiroid kanser evrelemesi
Tiroid kanser riskleri
Tiroid kanseri Tedavi çeşitleri
Tiroid Ameliyatı ve Riskler
Tiroid Kan Testleri
Radyoaktif İyot Tedavisi
Radyoaktif tedavi yan etkileri
Tiroid Kanseri Işın tedavisi
Tiroid hormon tedavisi
Kemoterapi, İmmünoterapi
Tiroid kanser takibi
Doktorunuz ve Sorular
VARİS VENÖZ YETMEZLİK TEDAVİSİ
Lazer Tedavisi
Köpük skleroterapi
Radyofrekans Tedavisi
Yapıştırma Tedavisi
AMELİYATSIZ KİST TEDAVİLERİ
Karaciğer köpek kistleri(Hidatid Kist)
Ameliyatsız Yumurtalık kisti tedavisi
Ameliyatsız Böbrek kisti tedavisi
DAMAR HASTALIKLARI TEDAVİSİ
Damar tıkanıklığı tedavisi
Aort anavrizması Tedavisi (EVAR,TEVAR)
Diyabetik Ayak Tedavisi
ÜREME ORGANLARINA YÖNELİK TEDAVİLER
Ameliyatsız varikosel tedavisi
Ameliyatsız tüplerin açılması
Pelvik konjesyon sendromu
Vajinal varis tedavisi
Miyom embolizasyonu ablasyonu
Prostat MR füzyon Biyopsi
BPH Prostat embolizasyonu
BİYOPSİLER
Akciğer biyopsisi
Karaciğer biyopsisi
Tiroid Biyopsisi
Prostat MR füzyon biyopsisi
Yumuşak doku biyopsisi
Böbrek biyopsisi
BEYİN KANAMASI TEDAVİSİ
Beyin Anevrizması Tedavisi
Beyin kanaması tedavisi
İnme Tedavisi (Acil ve Koruyucu)
AĞRI TEDAVİLERİ
Çöliyak ganglion blokajı
Satellit ganglion blokajı
Hipogastrik ganglion blokajı
İmpar ganglion blokajı
BEL FITIĞI VE OMURGA ÇÖKMESİ TEDAVİSİ
Omurga kırığı çimento enjeksiyonu
Lazerle Bel ağrısı ve fıtığı tedavisi
Faset eklem blokajı RF ablasyon
AMELİYATSIZ KANAMA TEDAVİSİ
Beyin Kanaması
Akciğer Kanaması
Mide ve Bağırsak Kanaması
Burun Kanaması
KANSER TANISI
Akciğer Kanseri
Tiroid Kanseri
Karaciğer Kanseri (HCC)
Meme Kanseri
Pankreas Kanseri
Böbrek Kanseri
Prostat Kanseri
TÜM GİRİŞİMSEL İŞLEMLERİM
Hakkımızda
GİRİŞİMSEL RADYOLOJİ TEDAVİLER
UYGULADIĞIMIZ TEDAVİLER
About
Members
Book a Room
Gift Card
Plans & Pricing
Program Listesi
Dosya Paylaşımı
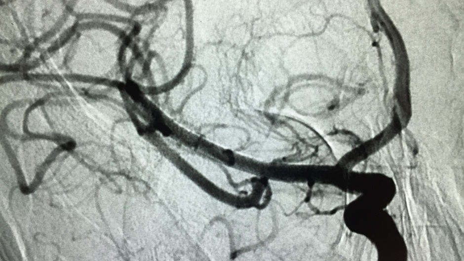
Beyin Anevrizması akım çevirici cihaz ile nasıl tedavi edilir?
Prof. Dr. Aykut Recep AKTAŞ
5 Eyl 2018
0 dakikada okunur
43 yaşında bayan hasta sağ kolda kuvvetsizlik ve yüzde kayma şikayeti ile başvurdu.
Beyin damarındaki tıkanıklık kan sulandırıcı ile tedavi edildi.
Prof. Dr. Aykut Recep AKTAŞ
4 Eyl 2018
1 dakikada okunur
bottom of page